Комп'ютерна томографія
Щелепно-лицева діагностика
На обладнанні нового покоління
Драгоманова 6/1
(Позняки)
097 165 07 09
Пн-Пт: 09:00 - 19:30
Cб: 09:30 - 18:00
Анни Ахматової 35
(Позняки)
068 825 95 88
Пн-Пт: 09:00 - 19:30
Cб: 09:30 - 18:00
Олександра Олеся 6-Б
(Виноградар)
097 047 13 11
Пн-Пт: 09:00 - 19:00
Cб: 09:30 - 18:00
пр-т Валерія Лобановського 17
(Севастопольська пл)
097 047 12 65
Пн-Пт: 09:00 - 19:00
Cб: 09:30 - 18:00
Героїв України 26
(Бровари)
068 969 63 41
Пн-Пт: 10:00 - 19:00
Cб: 10:00 - 15:00
вул. Щастя 1
(Крюківщина)
068 449 10 90
Пн-Пт: 10:00 - 18:00
Cб: 10:00 - 15:00
На обладнанні нового покоління
Лікарям та клінікам
Шановні лікарі та представники стоматологічних клінік!
Мережа діагностичних центрів "МАЙРЕЙ ЛАБ" забезпечує точну та надійну діагностику
щелепно-лицевої ділянки з мінімальним ризиком для пацієнтів.
Ми використовуємо найсучасніше обладнання відомого виробника PLANMECA, що дозволяє отримувати високоякісні зображення за короткий час. Крім того, ми маємо власний сервер, на якому створюємо окрему скриньку для кожного лікаря, що забезпечує максимальну зручність та ефективність роботи.
Наша команда має великий досвід у діагностиці що дозволяють проводити точну діагностику
та вчасне виявлення проблем.
Ми розуміємо, наскільки важлива для вас швидкість та точність в діагностичному процесі,
тому пропонуємо послуги, які не тільки забезпечують високу якість діагностики, але й
дозволяють отримувати результати в найкоротші терміни.
Ми готові до довгострокової та взаємовигідної співпраці з вами та вашою клінікою. Ми надаємо індивідуальний підхід та стежимо за тим, щоб наші послуги відповідали вимогам та потребам кожного нашого клієнта.








3D цефалометричний аналіз є сучасною технологією, яка дозволяє отримувати точніші,
комплексніші та надійніші дані про зубну та скелетну структуру. Ця технологія може стати
великим кроком в перед для ортодонтів, які хочуть забезпечити найкраще можливе лікування
своїх пацієнтів.
Основні переваги 3D цефалометричного аналізу:
Точність: 3D цефалометричний аналіз забезпечує точніше визначення розмірів та відстаней між
зубами та кістковими структурами.
Комплексність: ця технологія дозволяє отримувати детальні дані про різні структури, такі як
кістка та м'язи, що дозволяє ортодонтам докладніше досліджувати деякі патології та планувати
лікування.
Надійність: 3D цефалометричний аналіз дозволяє отримувати надійніші результати, оскільки
виключає можливість помилок, пов'язаних зі спотворенням або перекриттям зображень.
Оскільки 3D цефалометричний аналіз - це досить нова технологія, вона все ще не доступна в
усіх клініках та ортодонтічних практиках. Крім того, вона може вимагати додаткової
підготовки та спеціалізованого обладнання. Однак, завдяки своїм перевагам, вона стає все
більш популярною та знаходить застосування в ортодонтичній практиці.
















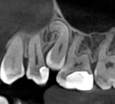
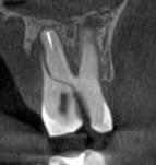
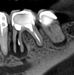
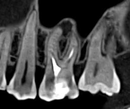
Ми розуміємо, наскільки важлива деталізація в ендодонтії та терапевтичному лікуванні.
Завдяки флагманському обладнанню PLANMECA, ми отримуємо знімки з мінімальним рівнем шумів та
високою роздільною здатністю, що дозволяє чітко візуалізувати морфологію кореневих каналів,
приховані каріозні порожнини та стан періапікальних тканин.
Крім того, ми маємо власний сервер, на
якому створюємо окрему скриньку для кожного лікаря, що забезпечує максимальну зручність та
ефективність роботи.




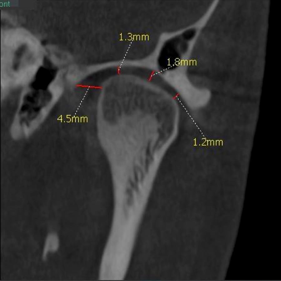
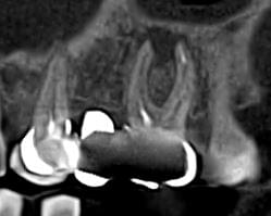
Успішна імплантація починається з бездоганної діагностики. Томограф PLANMECA забезпечує
зображення в реальному масштабі 1:1 без геометричних спотворень, що критично важливо для
вибору розміру та позиції імплантату.
Ми економимо ваш час, надаючи повний пакет передопераційної підготовки:
Детальна розмітка: промальовування нижньощелепного каналу, візуалізація синусів та
ментальних отворів.
Точні виміри: визначення висоти та ширини альвеолярного гребеня, а також оцінка щільності
кісткової тканини в зоні майбутньої операції.
Всі дослідження миттєво доступні у вашій персональній папці на нашому захищеному сервері —
ви можете відкрити їх на будь-якому комп’ютері для демонстрації пацієнту або планування
операції.





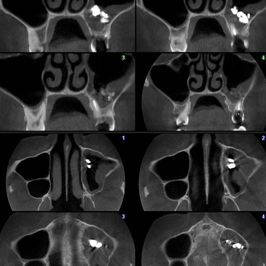
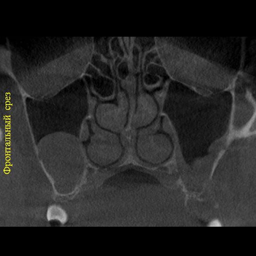
Отримайте вичерпну інформацію про стан ЛОР-органів завдяки надточній діагностиці на апараті
PLANMECA. Наші знімки дозволяють детально візуалізувати всі групи навколоносових синусів,
структури остіомеатального комплексу та анатомію носової перегородки.
Ми надаємо не просто знімок, а повний діагностичний сервіс:
Детальний опис: Кожне дослідження супроводжується професійним висновком лікаря-рентгенолога
з описом виявлених патологій (кісти, поліпи, сторонні тіла, рівень рідини, потовщення
слизової).
Зручна візуалізація: Можливість перегляду структур у будь-якій проекції (аксіальній,
корональній, сагітальній) для точної локалізації запального процесу.
Весь архів досліджень ваших пацієнтів надійно зберігається на вашому персональному хмарному
диску на нашому сервері — доступно в один клік у будь-який момент.