Комп'ютерна томографія
Щелепно-лицева діагностика
На обладнанні нового покоління
Драгоманова 6/1
(Позняки)
097 165 07 09
Пн-Пт: 09:00 - 19:30
Cб: 09:30 - 18:00
Анни Ахматової 35
(Позняки)
068 825 95 88
Пн-Пт: 09:00 - 19:30
Cб: 09:30 - 18:00
Олександра Олеся 6-Б
(Виноградар)
097 047 13 11
Пн-Пт: 09:00 - 19:00
Cб: 09:30 - 18:00
пр-т Валерія Лобановського 17
(Севастопольська пл)
097 047 12 65
Пн-Пт: 09:00 - 19:00
Cб: 09:30 - 18:00
Героїв України 26
(Бровари)
068 969 63 41
Пн-Пт: 10:00 - 19:00
Cб: 10:00 - 15:00
вул. Щастя 1
(Крюківщина)
068 449 10 90
Пн-Пт: 10:00 - 18:00
Cб: 10:00 - 15:00
На обладнанні нового покоління
Тип знімку - 2D
Вартість - 300 грн
Загальний час прийому - 15 хв
Час сканування - 15 сек
Друк на фотопапері / e-mail / лікарю на ftp
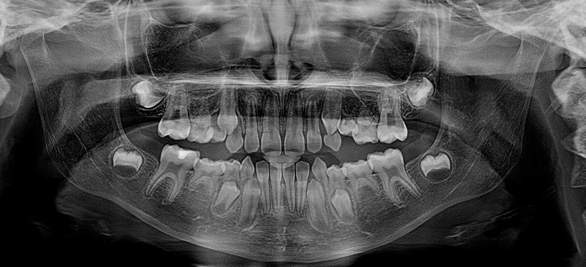
💡 Загальна інформація:
Ортопантомограма (ОПТГ) — це як загальна "фотографія" всіх ваших зубів та щелеп на одному знімку. Це швидке і безпечне 2D-сканування, під час якого апарат робить круговий рух навколо вашої голови, щоб отримати повне зображення.
✅ Для чого використовують:
● Стоматолог бачить стан усіх зубів, одночасно на одному фото.
● Для ортодонтів (вирівнювання зубів) та перед видаленням зубів
мудрості.
● Дозволяє оцінити розвиток зубів у дітей.
✍ Недоліки Ортопантомограми (ОПТГ):
Хоча Ортопантомограма (ОПТГ) є чудовим і швидким інструментом для загального огляду, вона має суттєві недоліки порівняно з більш сучасними методами, як-от КТ щелеп.
● Накладання структур (проекційні викривлення):
Це плоский (2D) знімок тривимірного об'єкта. Оскільки все, що знаходиться на шляху
рентгенівського променя, проєктується на одну площину, деякі важливі структури можуть
накладатися одна на одну. Наприклад, ви можете не побачити невелику кісту чи прихований
карієс через накладання сусідніх зубів або щелепних кісток.
● Геометричні та розмірні спотворення.
Зображення на ОПТГ ніколи не відповідає реальним розмірам 1:1. У
різних частинах знімка (особливо спереду та збоку) може бути різне збільшення або
спотворення. Це ускладнює точні виміри.
● Неточність вимірів:
Через спотворення, вимірювання на ОПТГ не є достатньо надійними для
складного лікування, такого як точне визначення довжини кореневого каналу або вибір розміру
імпланта.
⚠️ Надаємо лише знімок без висновку чи діагнозу:
У нашій лабораторії ми надаємо якісні знімки, які стануть надійним інструментом для вашого
лікаря в подальшій діагностиці.
Для точної інтерпретації результатів зверніться, будь ласка, до вашого стоматолога.