Комп'ютерна томографія
Щелепно-лицева діагностика
На обладнанні нового покоління
Драгоманова 6/1
(Позняки)
097 165 07 09
Пн-Пт: 09:00 - 19:30
Cб: 09:30 - 18:00
Анни Ахматової 35
(Позняки)
068 825 95 88
Пн-Пт: 09:00 - 19:30
Cб: 09:30 - 18:00
Олександра Олеся 6-Б
(Виноградар)
097 047 13 11
Пн-Пт: 09:00 - 19:00
Cб: 09:30 - 18:00
пр-т Валерія Лобановського 17
(Севастопольська пл)
097 047 12 65
Пн-Пт: 09:00 - 19:00
Cб: 09:30 - 18:00
Героїв України 26
(Бровари)
068 969 63 41
Пн-Пт: 10:00 - 19:00
Cб: 10:00 - 15:00
вул. Щастя 1
(Крюківщина)
068 449 10 90
Пн-Пт: 10:00 - 18:00
Cб: 10:00 - 15:00
На обладнанні нового покоління
готовність 1-3 дні
Вартість - 100 грн
(Вартість вказана за один суглоб)
При наявності готового знімку суглобів
Відправляємо на e-mail / лікарю на ftp
💡 Загальна інформація:
Знімок КТ — це величезний масив даних. Іноді вашому лікуючому лікарю (стоматологу-ортопеду, ортодонту або щелепно-лицьовому хірургу) потрібна допомога вузькопрофільного фахівця — лікаря-рентгенолога, щоб не пропустити жодної деталі. Рентгенологічний опис — це медичний документ, в якому сертифікований лікар-рентгенолог детально описує стан усіх анатомічних структур, виявлених на знімку, та фіксує будь-які відхилення від норми.
Переглянути Зразок
✅ Що містить цей звіт?
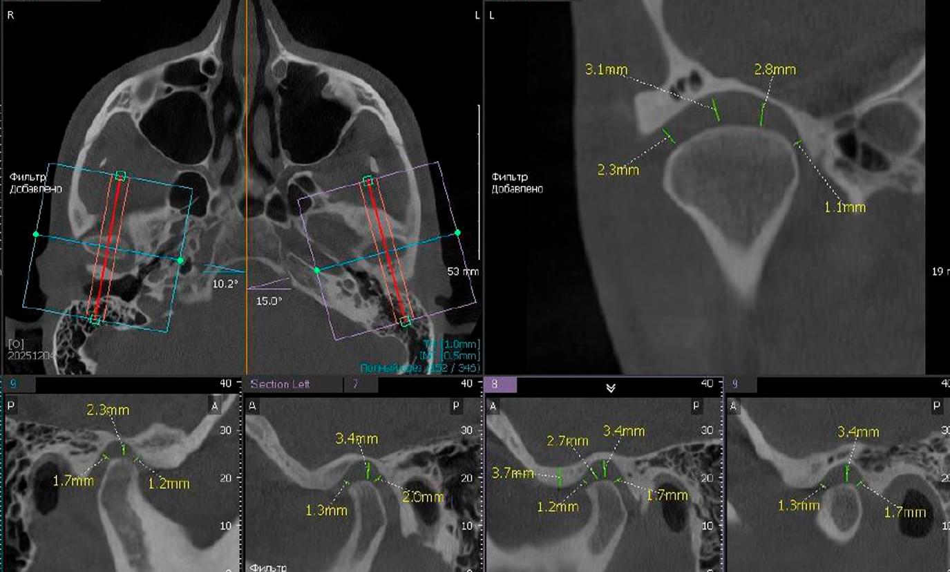
1️⃣ Анатомія та положення суглобів:
● Лікар описує положення голівок суглобів, які наразі розташовані несиметрично та зміщені назад
(дистальне положення) відносно суглобової ямки з обох боків.
● Суглобові ямки мають ознаки деформації з обох сторін.
1️⃣ Стан суглобової щілини (простір всередині суглоба):
● Суглобові щілини різко звужені у задніх (дистальних) та верхньо-бічних (латеральних) відділах
з обох сторін.
● Це свідчить про зміну простору, в якому працює суглобовий диск.
1️⃣ Кісткові зміни та регенерація (ремоделювання):
● Виявлено ознаки ремоделювання (перебудови кістки) суглобових голівок та бугорків з обох боків.
● Наявні ознаки склерозування (ущільнення кістки під хрящем) та формування остеофітів (невеликих
кісткових розростань) на передніх поверхнях голівок.
● З лівого боку візуалізуються деструктивні зміни (порушення цілісності) кортикальної пластинки
суглобової голівки.
1️⃣ Функціональні показники (рухливість):
● При відкритому роті об'єм руху (екскурсія) голівок суглобів залишається в межах норми,
порушень не виявлено.
● Додаткових новоутворень у м'яких тканинах навколо суглобів не знайдено.
⚠️ Важливе уточнення:
Рентгенолог — це лікар-діагност. Він описує «що він бачить» (рентгенологічну картину), але остаточний клінічний діагноз (хворобу) та план лікування встановлює виключно ваш лікуючий лікар, співставляючи опис зі скаргами та оглядом пацієнта.